近日,一位患有肝囊肿病人在我院消化内科实施硬化治疗技术治疗获得成功。患者:姚某某,女性,现齡50岁。以“反复中上腹压痛30余年,加重1天”为主诉,于2018年2月26日收治入院。

门诊检查,查超彩(上腹部):肝内巨大囊性占位,考虑囊肿;胆、胰、脾、双肾未见明显异常声像。
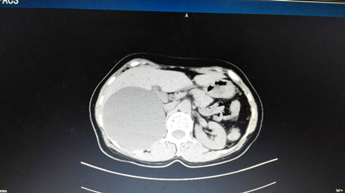
胃镜:非萎缩胃炎.上腹部CT平扫+增强:右肝内见一巨大低密度影,大小约9.5cmx10.1cm,边界清晰,增强后未见明显异常,右肾受压向下移位,右肝后叶下段亦见一小圆形低密度影,直径约0.4cm,增强未见明显强化。

2月28日(星期三)下午,术前各项准备工作就绪,在肝胆内科杨才生副主任医师(原南京军区福州总院肝胆内科副主任医师)指导下,消化内科谢育贤主治医师在B超引导下将细针插入肝囊肿穿刺引流,随后注入无水酒精。手术过程顺利,整个过程病人无痛苦,安全有效,使得患者避免开刀手术的风险。

肝囊肿硬化治疗是目前发展的新方法,B超引导下将细针插入肝囊肿穿刺引流,随后注入无水酒精,防止囊肿再次扩大。此种方法同时还应用于早期小肝癌治疗。
闽公网安备35010402350823号