患者王某某,男性,64岁,因“摔倒致左髋疼痛、畸形伴活动受限1小时”于2018年12月1日急诊入院,查体:左下肢外旋畸形、短缩,活动明显受限,不能站立及行走,左髋部肿胀,皮肤稍红,局部触之皮温稍高,触压痛明显,稍活动引起疼痛加剧,可触及明显骨擦感,左下肢纵向叩击痛(+)。左膝部屈伸稍活动受限,左下肢肌力、肌张力正常,感觉正常,血运可。我院左髋关节CT骨三维重建:左股骨颈骨折。诊断:左股骨颈闭合性粉碎性骨折(头下型)。
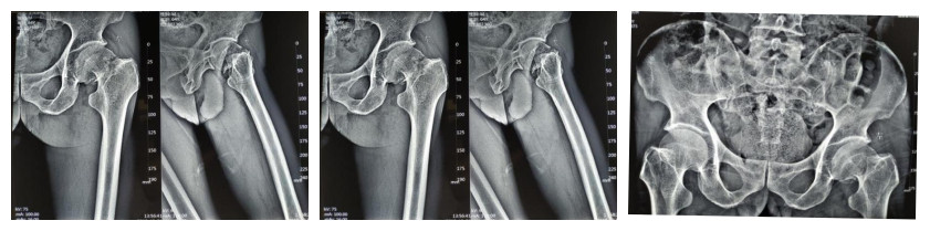
术前左髋关节X线片:

考虑患者年迈六旬,其左股骨颈粉碎性骨折,断端嵌顿、移位,行螺钉固定术极易引起股骨头缺血坏死,且恢复周期长,手术风险高。骨科陈祥权主任医师、郑国钦科主任及骨科同道就这ー病历展开讨论,结合患者需求及预后,拟行“左髋全髋关节置换术”,并制定详细的手术方案及术后康复锻炼计划,排除相关手术禁忌征后,在全麻下手术顺利,达到预期效果。
术中图片: 术中取下左股骨头:

术后,予预防感染、止痛、消肿、改善循环等相关对症治疗,指导患者左下肢康复功能锻炼。
术后换药切口: 术后第3天复查骨盆X线:

术后2周骨盆X线: 术后2周患者下地行走:

全髋置换术是骨科大手术之一,风险较大,技术要求高。 该病例创伤严重,从手术到出院,从卧床到行走,仅历时不到2周,且术后功能恢复良好,病人及家属极度满意。此次手术的实施成功,又一次再现骨科专业医疗综合实力。
闽公网安备35010402350823号